“就一根小鱼刺盈为国际,
怎么偏偏能钻到肝里去?”
近日,
37岁的李先生(化名)
至今仍难以相信,
一根小小的鱼刺,
在他体内“潜伏”了半个月
险些成了致命的“隐形杀手”!

打开百度APP畅享高清图片
事件回顾
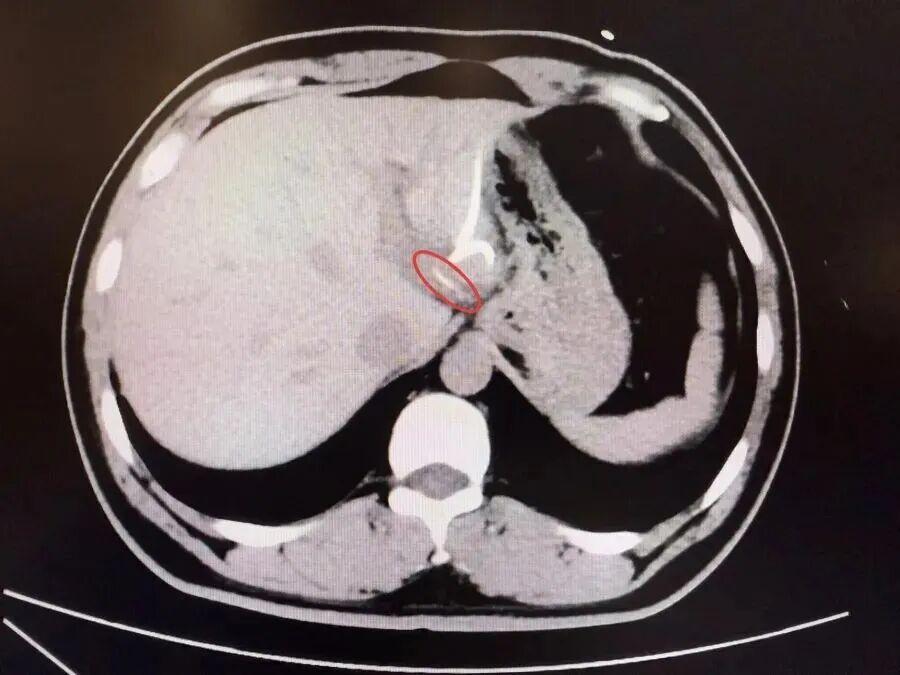
半月前,37岁的李先生(化名)误吞鱼刺却未察觉,数天后出现腹痛、高热(达40℃)等症状,当地医院诊断为“肝脓肿”,治疗后症状反复,ct检查才发现肝脏左叶有鱼刺——其已穿透胃壁入肝引发感染,十分危险,当地医生评估后认为,要彻底清除异物,需要进行左半肝切除手术,这让李先生难以接受。
为寻求更精准、微创的治疗,李先生转至复旦大学附属中山医院内镜中心。“鱼刺位置非常凶险,就在贲门旁刺入左肝,紧贴大血管。”接诊的周平红主任指出,腹腔感染粘连严重,手术难度极高。
团队提出创新方案:通过胃镜在食道管壁夹层建隧道,让内镜“跨”胃壁入腹腔取刺。最终,历时3小时手术,医生分离粘连后顺利取出3.5厘米长鱼刺盈为国际,全程无明显出血。


术后李先生恢复顺利,免于肝切除,保住肝脏功能。该手术为全球首例“内镜下经食管黏膜下隧道进腹肝异物取出术”。
鱼刺不慎误吞至体内的情况
不在少数
你以为的最佳处理办法

但事实很有可能是这样

甚至是这样

中山医院专家提醒
鱼刺、鸡骨、牙签等尖锐异物一旦误吞,不可依赖“吞饭团”“喝醋”等民间方法自行处理。若异物穿透胃肠壁,可引发胸腔大出血、腹膜炎、脓肿,甚至危及生命。
鱼刺卡喉的
正确做法是什么?
第一,不要慌,想一想刚刚吃的是什么东西卡住了你。
第二,稍用力咳几下或干呕几下,一些鱼刺会咳出来或呕出来。如果能看到鱼刺,可以让身边的人尝试用镊子将其取出。如果无明显好转,即刻及时就医。
第三,如果鱼刺位置较深,肉眼无法发现,或是鱼刺比较大,必须马上就近去有耳鼻喉急诊的医院,让医生帮忙取出,不要耽误!因为也许一晚、半天时间就可能演变成食管穿孔、食管发炎甚至纵膈发炎。
提醒大家,在科室选择方面,牢记一点:
口腔科不拔鱼刺!虽然刺从口入,但卡了鱼刺要挂耳鼻喉科。

申工社综合整理自复旦大学附属中山医院、新民晚报等
本期编辑:王冰鑫
转载需注明出处
上观号作者:申工社
星速配资提示:文章来自网络,不代表本站观点。