*仅供医学专业人士阅读参考美林资管
撰文丨鹿其临
前期提要
炎热的日子里,解暑的游泳运动成为一大乐事。我们知道,在露天游泳时,不仅要注意防溺水,还要留意自己不要被紫外线晒伤。但有时情况还不仅如此,一个13岁的小男孩,就意外地在一次畅快的露天游泳后,不慎全身长满了皮疹……
一次游泳,全身皮疹
在父亲的陪同下,小男孩因瘙痒、全身性皮疹来到急诊室就诊。据他们所说,7天前,一个阳光明媚的上午,两人在一个湖泊里游泳,当晚小男孩就出现了发热和头痛,但在服用布洛芬后症状很快消失。
然而,5天后,小男孩又出现了发痒的皮疹,且症状始于背部,并扩散到全身。据患者父亲回忆,患者在发现症状时,皮疹可能已经出现了两天。经询问,患者并无慢性病、经常服药或过敏的病史。
患者的体格检查显示全身性单形态水泡性皮疹,其中胸部和背部最为严重,伴耳后和生殖器受累,上颚和手掌有红斑,没有淋巴结病(图1)。除C反应蛋白(CRP)略有升高(21.3mg/L,参考值<5.0),患者的其余实验室检查结果正常。

图1 患者的临床表现
为何外出游泳一次就出现全身皮疹呢?美林资管
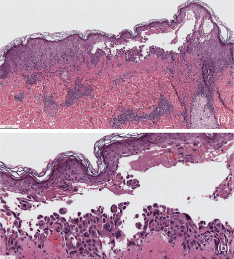
医生给小男孩做了右上臂病变穿刺活检。组织病理学检查显示棘皮松解伴表皮内小泡形成;基底细胞呈气球样变性,胞浆均匀、呈嗜酸性;裂隙内可见带边缘染色质的角质形成细胞巨细胞;观察到由淋巴细胞、组织细胞和中性粒细胞组成的真皮血管周围和腹膜周围浸润(图2)。

图2 皮肤活检染色结果(a:低倍视图显示棘皮和表皮内小泡形成;b:高倍视图显示多核棘皮松解性角质形成细胞和具有钢灰色核的角质形成细胞)
那么,检查至此,问题来了!读者朋友觉得小男孩最有可能的诊断是什么呢?
破案实录:识破非典型表现
起初,患者的主治医生并未锁定到水痘-带状疱疹病毒感染(VZV,水痘)。根据患者前驱热的病史和临床表现,医生怀疑其为病毒性皮疹。
我们知道,水痘患者通常会先发热1-2天,进入发病期后进入出疹阶段,皮疹常先发生于躯干、头部逐渐扩散至面部,最后四肢,通常躯干皮疹较多,四肢及面部较少,呈向心性分布;最初皮疹为红色斑疹,数小时后变成丘疹,再经数小时会变成充满液体的疱疹,疱疹基底部有一圈红晕,随后结痂成结痂疹。
VZV原发性感染的临床表现通常是多态性的,患者的整体病程中可同时见到斑疹、丘疹、疱疹和结痴疹,口腔、咽部或外阴等处黏膜也可有皮疹。由于患者并未表现出水痘典型的多态性皮疹外观,而与之正好相反,医生起初认为患者不太可能感染VZV。
但又因为患者有典型的肛门和手掌受累症状,医生还是针对VZV进行了聚合酶链式反应(PCR)检测,结果意外呈阳性,证实了VZV的诊断。最终,患者开始接受局部皮质类固醇治疗,随后使用不含皮质类固醇的干燥洗液,快速消除了瘙痒和皮疹的症状。
复盘:原来是紫外线影响水痘皮疹的形态
我们知道,水痘的传染性很高,尽管由于水痘疫苗覆盖率的提高,水痘的发病率已大大降低,但也并未根除,因此识别和正确诊断该疾病的典型和非典型表现很重要。上述的特殊病例则强调了水痘的非典型表现——单一形态的皮疹在水痘中是一种罕见表现,在既往的文献报道中,仅有9例病例报道了这种皮疹的单形性表现。
通过对这些特殊病例进行分析,发现其中有报道称:患者的主要表现常出现在紫外线暴露部位或日光性皮炎后。因此,我们可以推测,紫外线暴露可能是水痘皮肤表现的重要调节因素,其作为一种炎症和免疫皮肤反应的有效调节剂,尤其可能对初期尚未表现出临床表现的水痘产生影响,并将水痘的外观改变为单一形态的皮疹。
上述病例中的小男孩也同样在游泳时暴露于长时间的日光紫外线照射,因此患者的皮疹在背部、肩部和胸部等暴露在阳光下的部位很明显,而处在游泳阴影中的区域则很少病变(图1)。
参考文献:
[1] Kinberger M, Werner RN, Dilling A, Blume-Peytavi U. Monomorphic vesicular exanthema in a 13-year-old boy. J Dtsch Dermatol Ges. 2023 Apr 19. doi: 10.1111/ddg.15004. Epub ahead of print. PMID: 37073530.
本文来源:医学界皮肤频道
责任编辑:叶子
*“医学界”力求所发表内容专业、可靠,但不对内容的准确性做出承诺;请相关各方在采用或以此作为决策依据时另行核查。
星速配资提示:文章来自网络,不代表本站观点。